|

خروج بیش از ۹۰ بسته مواد مخدر از معده و روده یک مرد در کرج

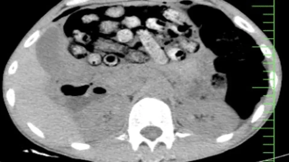
بیش از ۹۰ بسته مواد مخدر از معده و روده مردی میان‌سال در مرکز آموزشی درمانی شهید مدنی کرج خارج شد.

خروج بیش از ۹۰ بسته مواد مخدر از معده و روده یک مرد در کرج

به گزارش گروه رسانه‌ای شرق،

بیش از ۹۰ بسته مواد مخدر از معده و روده مردی میان‌سال در مرکز آموزشی درمانی شهید مدنی کرج خارج شد.

 بر اساس اعلام روابط عمومی دانشگاه علوم پزشکی البرز، مردی میان‌سال که با درد شدید شکم و کتف به اورژانس بیمارستان شهید مدنی کرج مراجعه کرده بود، پس از بررسی‌های اولیه و با همراهی مأموران امنیتی تحت مراقبت فوری قرار گرفت.

بر اساس اظهارات مأمور همراه، این فرد پیش از مراجعه اقدام به بلع تعدادی بسته محتوی مواد مخدر کرده بود که در پی انجام تصویربرداری، تعداد زیادی بسته مشکوک در معده و روده کوچک و بزرگ وی مشاهده شد.

با توجه به خطر پارگی احتمالی بسته‌ها و احتمال بروز عوارض تهدیدکننده حیات، بیمار بلافاصله به اتاق عمل منتقل شد و جراحی سنگینی از ساعت ۳ بامداد آغاز گردید.

این عمل جراحی به سرپرستی عضو هیأت علمی گروه جراحی عمومی دانشگاه علوم پزشکی البرز و با همکاری گروه‌های اورژانس، تصویربرداری، بیهوشی و جراحی انجام شد که درنهایت بیش از ۹۰ بسته مواد مخدر از معده و روده بیمار خارج شد.

حال عمومی بیمار پس از جراحی رضایت‌بخش گزارش‌شده است.

 

منبع: مهر

آخرین اخبار جامعه را از طریق این لینک پیگیری کنید.